6 年
手机商铺
技术资料/正文
5052 人阅读发布时间:2023-12-29 11:17
甲苯胺蓝染色
甲苯胺蓝是一种常用的人工合成染料,属于醌亚胺染料类。这类染料通常包含两个发色团,一个是胺基,一个是醌型苯环,这两个发色团共同构成了色原的显色能力。除了发色团外,染料还需要含有助色团,这些助色团能够增加染料与组织及其他被染物之间的亲和力。助色团能够促使染料电离成盐类,并帮助发色团与组织产生染色反应,从而使切片上的组织细胞得以着色。
在染色过程中,甲苯胺蓝可以使细胞核呈现出蓝色,而肥大细胞的胞质中含有肝素和组织胺等异色性物质,与甲苯胺蓝反应后可呈现出异染性的紫红色。因此,甲苯胺蓝可以用于尖锐湿疣的初筛以及肥大细胞的检测。
一、甲苯胺蓝染色的操作步骤
1、脱蜡至水:使用二甲苯Ⅰ浸泡5分钟,二甲苯Ⅱ浸泡5分钟,二甲苯Ⅲ浸泡5分钟,然后依次使用无水乙醇、95%乙醇和75%乙醇各浸泡1分钟,最后用自来水冲洗数秒。
2、滴加甲苯胺蓝染色液进行染色,染色时间为20-30分钟。
3、流水稍洗,洗去多余的染色液。
4、使用95%乙醇进行分色,在镜下控制分色效果。
5、脱水透明:先使用无水乙醇浸泡1分钟,然后使用二甲苯进行3次脱水,每次1-2分钟,最后使用中性树胶封固。
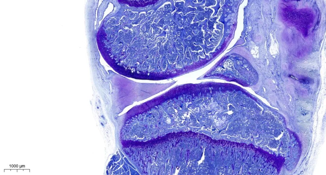
染色结果:软骨和成骨细胞呈蓝紫色,背景呈淡蓝色。

甲苯胺蓝染色实例
二、注意事项:
1、在脱水的过程中,最好使用无水乙醇,并确保无水乙醇的含水量不要太高,否则容易导致染色物质脱色。应该使用干净的无水乙醇进行脱水处理。
2、在染色过程中,可以稍微过染一些。这是因为在脱水的过程中,蓝色或紫红色会逐渐褪色。如果背景颜色太深,可以稍微延长脱水时间,直到肉眼观察组织呈现极浅蓝色或接近无色为止。但是脱水时间也不能太长,否则整个颜色会完全褪去,并且肥大细胞的紫红色会变成蓝色。
3、在染色完成后,不要将切片烤干后立即使用二甲苯进行透明封片,因为这样容易导致切片上出现水珠。应该等待切片表面干燥后再进行透明封片的步骤。
参考文献:
[1]不同包埋剂对冷冻切片质量的影响 [J] . 钱萍 ,马时荣 ,阮立新 . 临床与实验病理学杂志 . 2008,第002期
[2]硼砂甲苯胺蓝染液在半薄切片染色上的应用 [J] . 刘冬娟 ,祝素文 ,李艳杰 . 中国医科大学学报 . 2004,第001期
[3]甲苯胺蓝活体染色法在宫颈病变手术切除范围的界定中的作用研究 [J] . 郭宗梁 ,索静 . 内蒙古医科大学学报 . 2017,第006期