6 年
手机商铺
技术资料/正文
2578 人阅读发布时间:2023-12-27 11:33
PAS糖原染色
PAS染色是病理学中常用的染色方法之一,用于显示糖原和其他多糖。
该方法利用氧化剂将糖类及相关物质中的1,2-乙二醇基氧化为二醛,然后与Schiff试剂结合形成品红化合物,从而产生紫红色的染色效果。除了糖原,PAS技术还可以显示中性黏液性物质、某些酸性物质、软骨、垂体、霉菌、真菌、色素、淀粉样物质和基底膜等。该染色液在病理学领域被广泛应用。
一、PAS糖原染色的操作步骤
1、脱蜡至水:使用不同浓度的二甲苯和乙醇溶液,将蜡块中的蜡去除,最后用蒸馏水洗涤。
2、过碘酸反应:将样本滴加过碘酸溶液,避光反应10分钟后,去除过碘酸溶液,用蒸馏水洗涤。
3、Schiff试剂染色:将样本滴加Schiff试剂,放入湿盒中,在37°C烘箱中避光染色30分钟至1小时。去除染色液,用蒸馏水洗涤。
4、苏木素染色:将样本滴加苏木素染色液,染色30秒后去除,用蒸馏水漂洗多次直到浮色洗去。
5、盐酸乙醇分化液分化:将样本浸泡于盐酸乙醇分化液中30秒,去除分化液后用自来水漂洗。
6、脱水和透明化:使用乙醇和二甲苯进行脱水和透明化处理。
7、中性树胶封片:最后将样本封装在中性树胶中。
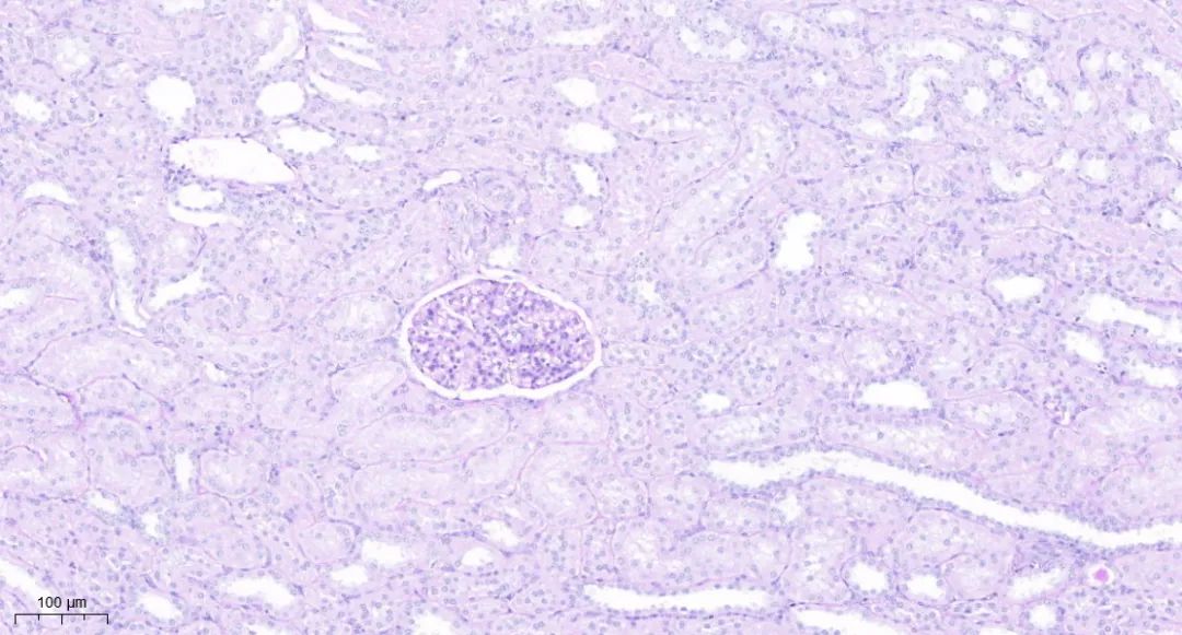
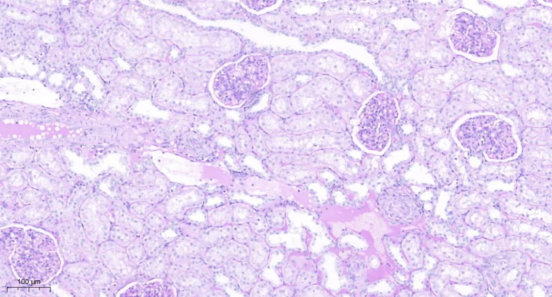
染色结果分析:糖原、多糖类物质和其他PAS反应阳性物质呈洋红色,细胞核呈蓝色。

PAS糖原染色实例
二、注意事项:
1、高典酸溶液为透明溶液,配制后应存放在4℃冰箱备用。由于无法通过颜色来判断高典酸的好坏,建议定期更换高典酸溶液。
2、所有染色试剂都应该在低温条件下保存。在使用前的半小时内将试剂取出恢复至室温。
3、Schiff染液的染色时间可以根据温度进行调整。在室温较高的情况下,可以缩短染色时间;
而在冬季或室温较低的情况下,可以延长至大约20分钟左右。
参考文献:
[1]张雨婷,张子剑,袁悦莹,等.全自动染色机在PAS染色中的改良应用[J].2017,(2).
[2]杨伟平,吴文乔,邹宗楷,等.改良PAS染色法在冷冻切片中的应用[J].2018,(3).
[3]汤鸿,张熔熔,唐威.荧光染色技术在肺活检组织真菌检测中的应用评价[J].2019,(11).