6 年
手机商铺
技术资料/正文
5431 人阅读发布时间:2023-12-26 11:31
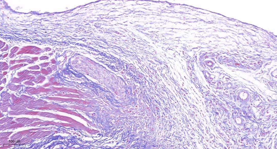
Masson染色
Masson三色染色,又称马松染色,是结缔组织染色中最经典的方法之一,被广泛应用于组织学研究中。该方法能够同时染色细胞核以及选择性地显示胶原纤维和肌纤维。
其染色原理与阴离子染料分子的大小和组织的渗透性有关:小分子量的染料能够穿透结构致密、渗透性低的组织,而大分子量的染料只能进入结构疏松、渗透性高的组织。
在Masson染色中,淡绿或苯胺蓝的分子量较大,因此在染色后,肌纤维呈红色,而胶原纤维呈绿色或蓝色。这种染色方法主要用于区分胶原纤维和肌纤维,为组织学研究提供了重要的信息。
一、Masson的操作步骤
1、脱蜡至水:二甲苯Ⅰ5min,二甲苯Ⅱ5min,二甲苯Ⅲ5min,无水乙醇1min,95%乙醇1min,75%乙醇1min,自来水冲洗数秒。
2、用配置好的Weigert铁苏木素染色液染色8分钟。
3、酸性乙醇分化液分化15秒,水洗。
4、Masson蓝化液返蓝5分钟,水洗。蒸馏水洗1分钟。
5、丽春红品红染色液染色5分钟。
6、弱酸工作液洗1分钟。
7、磷钼酸溶液洗1分钟,弱酸工作液洗1分钟。
8、苯胺蓝染色液染2分钟,弱酸洗1分钟。
9、脱水透明:95%乙醇快速脱水2-3秒,无水乙醇脱水3次,每次5-10秒,二甲苯透明3次,每次1-2分钟,中性树胶封固。
结果:胶原纤维或蛋白、粘液、软骨呈蓝色(如光绿液染色为绿色),胞浆、肌肉、纤维素、神经胶质和红细胞呈红色,胞核呈蓝紫色。

Masson实例
二、注意事项:
1、及时镜检以控制好染色程度。
2、组织固定起着很重要的作用,根据不同的固定液可延长或缩短染色时间。
3、0.2% 冰醋酸水溶液洗,可使色调清晰鲜艳。
4、磷钼酸水溶液对丽春红、酸性复红有分化作用,分化时镜下控制肌纤维和纤维素呈红色,胶原纤维呈淡粉红色即可,切勿过染。
参考文献:
[1]Masson染色在宫颈微小浸润性鳞状细胞癌诊断中的应用 [A] . 赵娜 . 2016
[2]Semi-quantitative analysis of 99m Tc-sestamibi retention level for preoperative differential diagnosis of parathyroid carcinoma [J] . Min Zhang, Lihao Sun, Weiwei Rui, Quantitative Imaging in Medicine and Surgery . 2019,第8期
[3]王文涛,李燕,黄婷,张亚莉.Masson染色联合图像半定量分析对肾间质纤维化的诊断及评价研究[J].中国全科医学,2020