6 年
手机商铺
技术资料/正文
4488 人阅读发布时间:2023-12-21 13:53
免疫组化是基于免疫学基本原理——抗原抗体反应,即抗原与抗体特异性结合的原理,通过化学反应使标记抗体的显色剂显色来确定组织细胞内抗原,对其进行定位、定性及定量研究。
免疫组化具有特异性强、敏感性高、定位准确、形态与功能相结合等多种优点。
免疫组化可应用于确定细胞类型、发现微小转移灶、了解分化程度 、临床应用、肿瘤起源与分化 、指导治疗与预后等多个方面。
一、免疫组化步骤:
1、烤片:
将组织切片放入60°C的烤箱中烘烤30-60分钟,这一步是为了让蜡片中的水分蒸发和石蜡融化,以确保组织切片能够牢固地贴附在玻片上。
2、脱蜡水化:
依次将切片放入二甲苯I、II、III中,每个浸泡10分钟;然后依次放入乙醇梯度溶液(从高到低浓度),每个浸泡2分钟;最后用自来水轻轻冲洗一下,但不要直接对着切片冲洗。

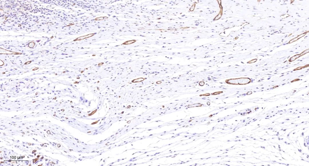
免疫组化实例·皮
3、抗原修复:
采用高压热修复的方法,使用pH6.0的柠檬酸盐缓冲液。确保将切片完全浸泡在修复液中,等高压锅冒气后保持5分钟,然后自然冷却。请注意温度的剧烈变化可能导致切片脱落。另外,使用3%的H202避光浸泡15分钟。
4、油笔保护:
用免疫组化油笔围绕组织画圈,这样可以保护切片不干燥。然后进行PBS洗涤,每次洗涤5分钟,重复3次。PBS会被油笔围绕的圈锁住,不会流失,确保切片不会干燥。
5、拍照:
凉干片子后滴加适量中性树胶封片,盖上盖玻片,小心气泡。晾干半天即可。显微镜下拍照。
二、注意事项:
1、组织的固定
组织固定的好坏直接影响免疫组化的结果,选择良好的固定液并及时充分的固定可以防止组织自溶,最大限度保留组织的抗原性,保证免疫组化结果的准确性。
2、组织的脱水
组织脱水不彻底,会出现组织掉片的现象,而且显色效果差,容易混淆诊断。
为保证组织脱水彻底,应制定相应的更换试剂的制度,及时更换并有专人负责,做好相应的记录。
3、切片
玻片选择粘附载玻片,切片不宜厚,推荐厚度3~5μm,可以保证后续修复时最大限度暴露抗原。
切片无皱褶、无气泡,烤片温度设置65~68℃,时间为3小时。
烤片不充分会导致组织脱片影响后续的检测,但烤片也不宜过度,温度过高会加速抗原氧化,导致抗原丢失。

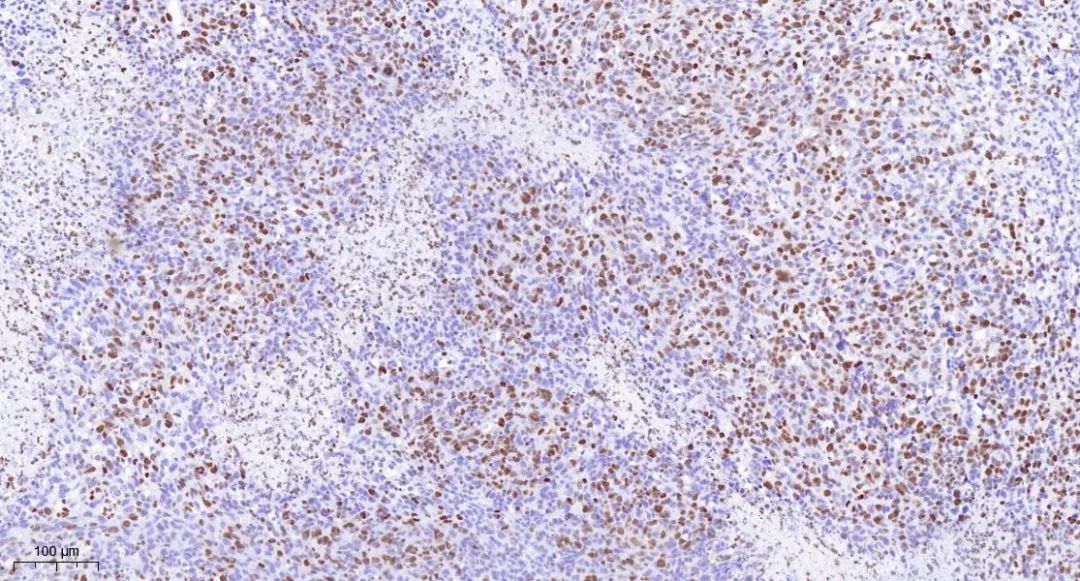
免疫组化实例·瘤
4、抗原修复
热修复包括水煮加热、高压加热和微波加热3种。最常用的抗原修复方法是热压修复。
5、阻断内源酶
进行免疫组化标记的组织,通常含有一定量的内源性酶,由于在免疫组化染色过程中,大部分抗体是用过氧化物酶来标记的。
比如我们通常使用HRP即辣根过氧化物酶标记的二抗,酶起催化作用,促进底物的结合,而组织中的内源性酶同样也能催化底物,这就影响了免疫组化的特异性。所以在加酶标二抗之前,应先用过氧化氢阻断内源酶,将对后续检测结果的影响降到最低。
6、抗体的选择和使用
选用与使用的一抗同源性的二抗。要选择适宜的一抗,不同的二抗与一抗浓度不匹配,都不能得到满意的结果。
7、显色反应
DAB显色剂须现配现用,切片多时应分次配制,分批显色。根据温度和整体显色情况决定终止反应,一般显色时间3~5min,时间过长致显色过深和背景着色,过短致反应不足或出现假阴性。
由于DAB有一定的毒性,在操作时要特别注意自身的防护,实验器材专用,以防污染。
8、复染
使用苏木素复染5~10s,无需分化,衬染效果较好,与DAB显色形成的褐色沉淀形成分明的对比,便于观察和判读。
9、试剂的保存
因为抗体是蛋白质,保存或使用不当不但会造成浪费,而且变质会出现假阴性结果。
要注意抗体的有效期,对于一次用不完的抗体可保存在冰箱内,而不要放在冷冻室,反复冻融,抗体效价会急剧下降而失效。
同时防止抗体的相互交叉污染和细菌污染。
10、实验环境温度
标准实验室温度是18~22℃,实际工作中却不然,条件差的实验室冬天可低于12℃,夏天可高于37℃,冬夏温差可达到25℃。
一切酶促反应温度最关键,反应程度也是冬夏季有别,这也是造成染色结果不稳定的一个重要原因,因此应该选用37℃恒温箱进行孵育。
参考文献:
[1] 李明凤,方林娜,计翼,胡沛然,孙林,王悦晨,孙礼洁,尹玉。前列腺癌组织中 TEM8 与 VEGF 的表达及临床意义 [J]. 临床与实验病理学杂志,2020,36 (10):1144-1148.
[2] Guo Zheng,Zhang Xiufang,Zhu Huabin et al. TELO2 induced progression of colorectal cancer by binding with RICTOR through mTORC2.[J] .Oncol Rep, 2020, undefined: undefined.