6 年
手机商铺
技术资料/正文
494 人阅读发布时间:2024-07-22 15:27
革兰氏染色
革兰氏染色(Gram Staining),又称革兰染色法,是细菌学中广泛使用的一种鉴别染色法。该方法由丹麦医生汉斯·克里斯蒂安·革兰(Hans Christian Gram)于1884年创立,最初用于鉴别肺炎球菌与克雷白氏肺炎菌之间的关系,后逐渐推广为鉴别细菌种类的重要方法。
革兰氏染色法通过特定的染色步骤,将细菌分为革兰氏阳性菌(G+)和革兰氏阴性菌(G-)两大类,对由细菌感染引起的疾病的临床诊断及治疗具有广泛用途。
一、原理:
革兰氏染色的原理主要基于细菌细胞壁结构的差异。细菌细胞壁主要由肽聚糖层构成,但革兰氏阳性菌和革兰氏阴性菌的细胞壁结构存在显著差异:
革兰氏阳性菌:细胞壁较厚(20-80nm),肽聚糖层多达50层,且交联致密。此外,部分革兰氏阳性菌还含有磷壁酸,这些成分使得细菌在染色过程中能牢固地保留结晶紫与碘的复合物,不易被脱色剂洗脱,因此染色后呈紫色。
革兰氏阴性菌:细胞壁较薄(15-20nm),且外膜层类脂含量高,肽聚糖层薄且交联度差。在染色过程中,类脂为主的外膜容易溶解,使得结晶紫与碘的复合物无法被牢固保留,容易被脱色剂洗脱。随后,经过红色染料复染,革兰氏阴性菌呈现红色。
二、材料与仪器:
实验试剂:
无水乙醇、二甲苯、革兰氏染色试剂盒、中性树胶
实验仪器:
LEiCA TP-1020脱水机、LEiCA HistoCore MULTICUT病理切片机、包埋机、冻台、组织摊片机、烤箱、载玻片、盖玻片、OLYMPUS CKX43-LP显微镜、3DHISTECHP250FLASH全景扫描仪
三、实验步骤:
1、石蜡切片脱蜡至水:
依次将石蜡切片放入二甲苯Ⅰ20min-二甲苯Ⅱ20min--无水乙醇Ⅰ3min-无水乙醇Ⅱ3min-90%酒精3min-80%酒精3min--70%酒精3min蒸馏水洗。
2、胭脂红染色:
胭脂红染色液滴染5min,倾去染液。
3、分化:
酸性乙醇分化液分化2-5秒,而后流水冲洗3-5秒。
4、草酸铵结晶紫染色:
草酸铵结晶紫染色液滴染5min,倾去染液,用滤纸吸干组织周围剩余染液。
6、Weigert碘液处理:
weigert碘液处理1分钟,倾去碘液,用滤纸反复吸干切片内的水分。
7、分化:
用苯胺二甲苯分化至切片无紫色脱出,立即用二甲苯洗涤。
8、洗涤封片:
滴入新的二甲苯反复洗涤多次,彻底把苯胺洗去,中性树胶封片。
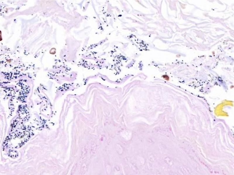
※实验结果示例:
革兰氏阳性细菌------蓝紫色
革兰氏阴性细菌-----粉红色
细胞核------红色

革兰氏染色
四、注意事项
1、媒染时间:
媒染时间应严格控制,避免过长或过短。媒染时间过长可能导致假阳性结果,而媒染时间过短则可能影响染色效果。
2、脱色时间:
脱色时间也是影响染色结果的关键因素。脱色时间过短可能导致阴性菌脱色不完全,出现假阳性;脱色时间过长则可能破坏阳性菌的细胞壁,导致假阴性结果。因此,脱色时间应严格控制在20-30秒。