6 年
手机商铺
技术资料/正文
783 人阅读发布时间:2024-06-24 14:41
大鼠烫伤动物模型
利用台式超级控温烫伤仪进行大鼠烫伤模型的制备,考察烫伤温度、时间、压力等因素对烫伤程度的影响,并进行烫伤皮肤病理学检查,可以成功地制备大鼠体表深Ⅱ度烫伤、浅Ⅱ度烫伤、Ⅰ度烫伤模型。所建立的模型制备方法操作简单,温度、压力、时间准确可控,烫伤面积恒定,可重复性强。
烫伤模型为开发创伤修复的新药研究提供了理想的动物模型。通过在大鼠身上模拟烫伤过程,研究人员可以观察和评估不同药物对烫伤愈合的影响,为新药的开发提供科学依据。
一、材料与仪器:
实验器材:
①大鼠 ②台式超级控温烫伤仪
实验试剂:
①麻醉剂
二、实验步骤:
1、实验准备
确定大鼠体质量,按照Rubner公式计算烫伤面积。

Rubner公式
选择雄性Wistar大鼠32只,随机分为4组:正常对照组、模型1组、模型2组,每组8只。
2、剃毛麻醉
正常对照组:不进行任何处理。
造模组(模型1组、模型2组):
剃除大鼠背部毛发,确保烫伤区域无毛发遮挡。
使用麻醉剂腹腔注射进行麻醉。
3、烫伤制作
等待麻醉生效,使用台式超级控温烫伤仪配套的烫头制作烫伤创面。
模型1组:
制作4个相同的烫伤创面。
烫伤创面
模型2组:
同样制作4个烫伤创面。
烫伤创面
4、创面观察
在烫伤后立刻以及72h分别观察各组大鼠的创面外观情况,记录数据。详细记录各组大鼠的烫伤后反应、创面愈合情况等数据。
5、病理学检查
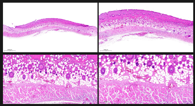
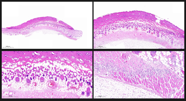
取正常对照组及模型组大鼠背部皮肤标本,常规固定,石蜡切片,HE染色,观察皮肤组织学变化。

模型1组皮组织切片对比

模型2组皮组织切片对比
文献参考:
1. 大鼠浅Ⅱ度烫伤实验模型的病理研究 [J] . 朱清如 ,衣承乐 . 上海第二医科大学学报 . 1998,第001期
2. 一种简便的大鼠Ⅱ度烫伤模型制备方法 [J] . 丁毅 ,吾拉尔·阿德力 ,李敏 . 临床与病理杂志 . 2021,第003期
3. 中药烧烫伤复方制剂治疗大鼠烫伤的实验研究 [C] . 袁进 ,顾为望 . 第十三届中南地区实验动物科技交流会 . 2013